Назад
5 балів БПР
5 академ. год.

B.O.P.T.: керована трансформація ясен — клінічний протокол вертикального препарування

Майстер-клас

27 травня 2026

Онлайн

Формат

Заочна

Тривалість

3 год 30 хв

Мова викладання

Українська

Тип заходу

Майстер-клас (у режимі реального часу)

Для кого цей курс:

Щелепно-лицева хірургія

Дитяча стоматологія

Ортодонтія

Ортопедична стоматологія

Стоматологія

Терапевтична стоматологія

Хірургічна стоматологія

Пародонтологія

Всі спеціальності молодших спеціалістів з медичною освітою

ЗАРЕЄСТРУВАТИСЬ

Програма курсу

  • 27 травня | 17:00-20:30
  • Ігор Ткаченко

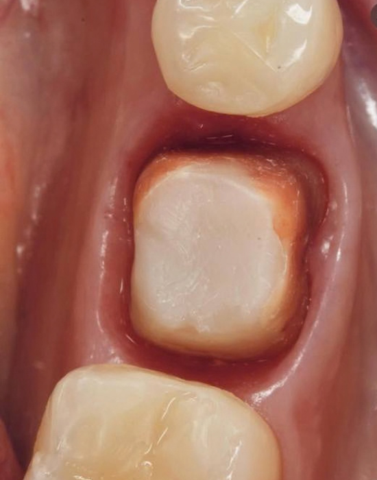
Блок 1. B.O.P.T.: керована трансформація ясен — клінічний протокол вертикального препарування

✅ Концепція B.O.P.T. та біологічні основи
• Історія та філософія техніки
• Чим вертикальне препарування відрізняється від горизонтального
• Анатомія пародонта. Біотипи ясен
• Контрольована травма. Стадії загоєння. Судинна реакція

✅ Чому відбувається потовщення біотипу ясен
• Формування кров’яного коагуляту
• Стабілізація коагуляту тимчасовою коронкою
• Механотрансдукція фібробластів
• Ремоделювання сполучної тканини
• Адаптація епітелію до нового профілю

✅ Клінічне мислення ортопеда
• Біологічна ширина: середнє значення, складові
• Реакція тканин на порушення біологічної ширини
• Контроль глибини препарування. Розташування краю реставрації
• Профіль виходу зуба. Створення за допомогою тимчасової коронки

✅ Показання та протипоказання
• Клінічні ситуації, де B.O.P.T. є найкращим рішенням
• Ситуації, у яких високі ризики невдачі

✅ Протокол лікування. Клінічні приклади
• Підготовка: оцінка ситуації, зондування
• Створення шаблону для тимчасової коронки
• Вертикальне препарування, полірування
• Ретракція
• Виготовлення тимчасової коронки
• Формування кров’яного коагуляту
• Ремоделювання м’яких тканин та стабілізація ясен
• Повторна ретракція, сканування та остаточна реставрація
• Швидкий протокол вертикального препарування при прогнозованих умовах

✅ Особливості препарування
• Інструменти
• Контроль глибини
• Зона фінішної лінії
• Контроль кровотечі
• Роль збільшення

✅ Виготовлення тимчасової конструкції
• Функції тимчасової коронки: стабілізація коагуляту; формування ясенного контуру; контроль компресії тканин
• Етапи виготовлення. Фіксація / демонтаж
• Профіль виходу коронки: трансгінгівальний контур; компресія тканин; адаптація ясен
• Помилки: гіперкомпресія; недостатня підтримка тканин
• Контрольована зміна стану ясен. Ремоделювання тканин

✅ Складні клінічні випадки
• Глибоке руйнування зуба
• Ортодонтична екструзія
• Вертикальна тріщина
• Повторне протезування
• Протезування пародонтитних зубів

✅ Поєднання з хірургією
• Пластика рецесій. Тунельна методика
• Гемісекція
• Хірургічне подовження клінічної коронки

✅ Ускладнення
• Рецесії
• Запалення ясен
• Неправильний профіль виходу
• Нестабільність тканин
• Технічні помилки

Якісний фотопротокол
Детальний розбір методик та біологічне обґрунтування

2 години - лекція, 1 година - обговорення, відповідді на питання, проходження тестування, отримання сертифікатів

Реєстрація

900₴

Заочна

B.O.P.T.: керована трансформація ясен — клінічний протокол вертикального препарування
Лікарі

Рання реєстрація! Не зволікай, підвищення цін незабаром!

Доступ до запису на 60 днів

Інтерактив з ментором

Навчальні матеріали

Тестування по завершенню школи

5 балів БПР

800₴

Заочна

B.O.P.T.: керована трансформація ясен — клінічний протокол вертикального препарування
Студенти/інтерни

Рання реєстрація! Не зволікай, підвищення цін незабаром!

Доступ до запису на 60 днів

Інтерактив з ментором

Навчальні матеріали

Тестування по завершенню школи

Ментор

Ментор

Ігор Ткаченко

лікар-стоматолог, спеціалізується на ортопедії та хірургії. Має досвід проведення хірургічних втручань, імплантації, роботи з м'якими тканинами та протезування за цифровим протоколом, а також здійснює терапевтичний прийом.

Стоматологія

Контакти

Ви також можете звʼязатися з нами у телеграм https://t.me/stomatplatforma