Назад
5 балів БПР
5 академ. год.

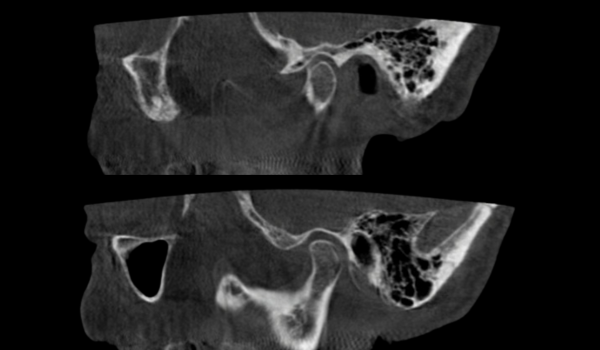
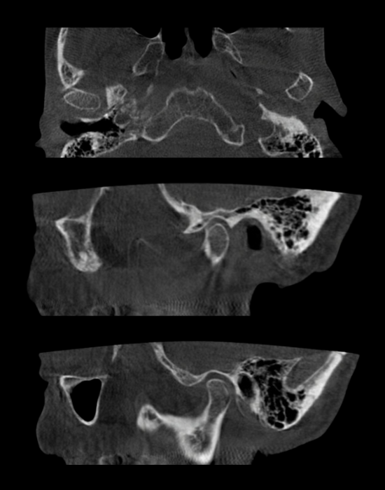
3д діагностика скронево-нижньощелепних суглобів

Майстер-клас

24 квітня 2026

Онлайн

Формат

Заочна

Тривалість

3 год 30 хв

Мова викладання

Українська

Тип заходу

Майстер-клас (у режимі реального часу)

Для кого цей курс:

Дитяча стоматологія

Ортодонтія

Ортопедична стоматологія

Пародонтологія

Стоматологія

Терапевтична стоматологія

Хірургічна стоматологія

Щелепно-лицева хірургія

Всі спеціальності молодших спеціалістів з медичною освітою

Радіологія

Рентгенологія

ЗАРЕЄСТРУВАТИСЬ

Програма курсу

  • 24 квітня | 17:00-20:30
  • Мілена Бойко

Блок 1. 3д діагностика скронево-нижньощелепних суглобів

✅ Рентгенівське навантаження при діагностиці

✅ Види діагностики СНЩС

✅ Нормальна анатомія СНЩС на КПКТ

✅ Розміри голівки СНЩС, рентгенологічна суглобова щілина

✅ Протоколи діагностики СНЩС

✅ Диференційна діагностика дегенеративних змін СНЩС. Клінічні приклади

✅ Дислокації голівок СНЩС. Клінічні приклади.

✅ Шилоподібний відросток

2 години - лекція, 1 година - обговорення, відповідді на питання, проходження тестування, отримання сертифікатів

Ментор

Ментор

Мілена Бойко

Лікарка-рентгенолог мережі центрів ЩЛД Insidden 3d, +7-річний досвід в ЩЛД. Медична директорка. Членкиня АРУ, European Society of Radiology. Досвід в діагностиці для судово-медичної експертизи.

Рентгенологія

Реєстрація

800₴

Заочна

3д діагностика скронево-нижньощелепних суглобів
Студенти/інтерни

Рання реєстрація! Не зволікай, підвищення цін незабаром!

Сертифікат проходження курсу

Інтерактив з ментором

Доступ до запису протягом 60 днів

Навчальні матеріали

900₴

Заочна

3д діагностика скронево-нижньощелепних суглобів
Лікарі

Рання реєстрація! Не зволікай, підвищення цін незабаром!

Інтерактив з ментором

Доступ до запису протягом 60 днів

Навчальні матеріали

5 балів БПР